総入れ歯専門治療
【総入れ歯専門治療について】
症例解説
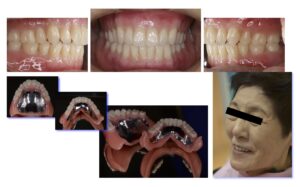
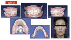
70代女性。今の入れ歯が動いて噛めないとの主訴で来院されました。10年前に現在使用中の上下顎総入れ歯を装着し、何回も調整を繰り返してきたとのこと。数年前から上下ともに入れ歯が動くのが気になるようになり、最近では入れ歯が何度もはずれるようになったため来院しました。うまく食事ができないため「よく食べれるようになりたい」、そして「入れ歯っぽくない自然な見た目」で製作して欲しいとのご要望がありました。
治療前 使用中の上下顎総入れ歯は、修理のつぎはぎ痕が多く存在しています。総入れ歯の土台となるあごの骨の吸収量が多く、また噛み合わせが左にズレていることから、入れ歯が吸着してよく噛めることがは難しい状態でした。


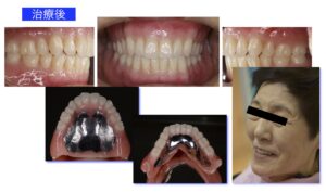
治療後 最初に治療用義歯を装着することにより、傷ついた土台の粘膜の改善と噛み合わせの正常化を図られたことから、最終義歯としてBPS義歯を装着しました。義歯の吸着は良好で、患者さんの生活の質(QOL)は向上し、大変満足いただけました。


✻BPS義歯とは :BPS義歯とは、欧州のリヒテンシュタインに本社がある世界的な歯科材料であるイボクラール・ビバデント社が開発した「生体機能的補綴システム(Biofunctional Prosthetic System,BPS)」で製作した入れ歯のことです。よく噛める、痛くない、外れにくい、美しいといった特徴があり、患者さんの個々の状態に合わせて精密に製作されるオーダーメイドの入れ歯です。
【治療内容】
1. 初診相談
お口の中の診査結果から、とくに下あごの解剖学的状態が入れ歯の吸着を得るためには不利であることがわかりました。また、両側顎関節のCT像からとくに左側顎関節の形態異常を認め、あごの動き方に問題がありました。現状での生活の質(QOL)も70満点中35点とかなり障害されています。患者さんのご要望に応えて入れ歯で機能させるには難症例であることから、最終的な入れ歯を装着する前にリハビリテーション目的で治療用義歯を装着してもらい、これを使用してもらいながら、あごの解剖学的条件の改善と機能の改善を図ることとしました。



よく噛める入れ歯を製作していくためには、傷ついた土台の粘膜の改善と噛み合わせのズレの正常化が必要と考えました。そこで治療計画として、1.早期に上下顎治療用義歯を装着する、2.顎堤粘膜の改善と下顎左側偏位の是正を図る、3.最終義歯としてBPS義歯を選択し、機能と審美性の改善をさらに追求する との治療計画を立案しました。その後、患者さんに提示・相談させていただいて、同意を得ました。
2. 治療用義歯の製作
最初に製作する治療用義歯であっても、最終的なBPS義歯と同様な製作手順を踏んで丁寧に治療していきました。
① 型取りは二回に分けて行います。とくに下あごはその解剖学的条件が悪く、入れ歯が安定するには不利な条件であることから、一回目の型取り(予備印象採得)から丁寧に行います。


② 印象採得で製作した上下顎模型を咬合器(お口の動きを再現できる専用の機械)に装着して、お口の状態を咬合器上に再現します。


③ 二回目の精密な型取り(最終的な型取り、最終印象採得)を行うために、お口の状態を再現した咬合器上で型取りするための器(個人トレー)を製作します。この個人トレーを用いて、型取りをすると同時に噛み合わせの記録も行います。

④ 型取りのための専用の材料と個人トレーを用いて、最終的な型取りをします。さまざまな動作をしてもらって、お口の動きにマッチした型取りを行います。このことで、はずれない(吸着する)入れ歯とすることができます。


⑤ 型取りの終わった個人トレーに組み込まれているゴシックアーチトレーサーという器具を用いて、入れ歯の高さなどの噛み合わせの記録を行います(咬合採得)。お顔に調和した噛み合わせの高さとなるように設定します。

⑥ ワックス上に人工歯を配置(人工歯排列)した仮の入れ歯(うろ義歯)をお口の中に入れてみて、見た目や噛み合わせを確認します(ろう義歯試適)。歯があった時の写真などを持参していただき、お顔にあった歯の並べ方を工夫します。患者さんに見ていただきながら、その場で人工歯の色や形を変更したり、歯を並び替えることで、ご要望にお応えしていきます。

⑦ 完成した治療用義歯を装着し、調整していきます。あごが左側にズレている(下顎左側偏位)ため、これを是正していく目的で、下あごの入れ歯はわざと奥歯を平坦にして(フラットテーブル)、噛み合わせを丁寧に調整していきます。治療用義歯装着1ヶ月後には、下顎左側偏位が修正されてきました。


3. 最終義歯(カラーリングBPS義歯)の製作と装着
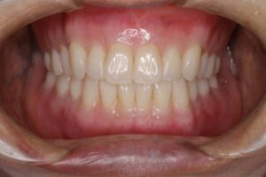
治療用義歯の装着により「よく噛めるようになった」とのお話が聞け、入れ歯の土台となるあごの粘膜が健康になって、下顎左側偏位の修正が得られました。そこで最終義歯(BPS金属床義歯)を製作していくこととしました.製作ステップは治療用義歯製作と変わりません。見た目を綺麗にしたいとのご要望があり、歯肉の相当する部分をカラーリングして、より自然感のある美しい義歯に仕上げました。患者さんの笑顔も見られ、初診時に障害されていた生活の質(QOL)も70満点中14点と全ての項目で向上して、ご満足が得られました。


そこで、こんな総入れ歯のお悩みに
① 入れ歯がはずれて話せない、笑えない、カラオケも歌えない
② 入れ歯が痛くて、食事ができない
③ 口元が貧相で、見た目が悪い


【治療概要】治療用義歯を装着して機能改善を図った上で,最終の上下顎総入れ歯を装着した
【入れ歯の種類】上下顎治療用義歯,上下顎カラーリングBPS総義歯
【メインテナンス開始までの治療期間】6ヶ月
【メインテナンス開始までの治療回数】12回
【リスクと副作用 】下顎前方偏位(前噛み癖)があることから、上顎前歯部残存顎堤への負担が大きい
【費用】上下顎治療用義歯 : 44×2 万円,上下顎カラーリングBPS金属床義歯:88×2 万円


総入れ歯専門治療を受けることで
入れ歯がはずれずに、自然な見た目を回復!
痛くなく、しっかりと食事ができる生活に!
カラオケでも上手く歌えるように!
はずれない総入れ歯(吸着入れ歯)とは?
【従来の入れ歯との違い】
はじめに、吸着入れ歯と従来の入れ歯の違いをご説明します。従来の入れ歯は、基本的に口腔粘膜の上に乗せて「置くだけ」の構造となっています。そのため、ズレたりはずれやすく、とくに下あごの総入れ歯ははずれやすいことが多いです。
一方、吸着入れ歯は「隙間を封鎖する」ことを目的とした入れ歯です。お口の形状を正確に再現し、入れ歯の内面が粘膜と陰圧になることで義歯がピタッと吸着し、はずれにくくするという仕組みです。まさに“吸い付く”ようなフィット感。装着時の安定感や会話・食事中の安心感が段違いです。
【吸着の仕組みとフィット感の秘密】
吸着入れ歯は、特殊な設計と加工技術でお口にぴったり密着します。ポイントは以下の3つ。
- 精密な型取り(精密印象)
- 頬や舌など柔らかい粘膜組織に接して隙間が封鎖されることによる陰圧作用
- 顎の動きを計算した設計
とくに、精密印象による型取りは重要となってきます。あごと頬や舌の粘膜のわずかな凹凸も逃さず再現することで、歯ぐきとの間に隙間ができず、ぴったりとくっつきます。
吸着力があるため、歯ぐきから自然に離れにくく、日常の動作でもズレにくいのです。
東京都ご開業の阿部二郎先生が確立された、下あごの総入れ歯の吸着システム(Suction Effective Mandibular Complete Denture, SEMCD)は、日本ばかりではなく、海外の歯科医師にも認知されてきています。この技術をマスターしている歯科医師はまだ少ないのが現状ですが、当院の院長はこの吸着の技術を有し、講演も行なっています(有床義歯学会 指導医・認定医)。
そこで当院では入れ歯専門の歯科技工士と連携し、一人ひとりの口腔内に最適化されたカスタムメイドの吸着入れ歯をご提供。精度の高さが、まるで自分の歯のような装着感を生み出します。
総入れ歯でもしっかり吸着する理由
【下の入れ歯が浮き上がる、上の入れ歯が落ちる原因とは?】
総入れ歯で悩む方の多くが抱える問題が、「はずれやすい」・「しゃべりにくい」・「痛い」といった装着の不安定さです。これは、入れ歯と歯ぐきの間に隙間が生じることが主な原因です。また噛み合わせが不調であることも、入れ歯がはずれてくる大きな要因です。
世間では市販の入れ歯安定剤が出回っています。なかなか入れ歯が安定せずに、お困りの方々が多いことが窺われます。
加齢や骨の吸収によってあごの形が変化すると、入れ歯との間に段差が生まれ、うまく吸い着かなくなるのです。さらに一般的な保険の入れ歯では、使える素材や技術に制限があるため、フィット感に限界があります。
【はずれない吸着入れ歯で生活の質が変わる!】
吸着技術を用いた総入れ歯は、「密着性」・「安定性」・「快適性」を兼ね備えた高品質な義歯です。上顎でも下顎でも、強力にフィットすることで、話す・笑う・食べるといった日常動作がストレスなく行えるようになります。
とくに下あごは吸着が難しいのですが、当院では噛み合わせの設計と精密な型取り技術で、下あごでもしっかり吸着する入れ歯を提供。日常生活の質を格段に向上させます。
【精密印象とカスタムメイドの技術】
吸着入れ歯は、単なる「型取り」ではなく、粘膜の柔らかさと動きと顎の動き、そして噛み合わせまでを考慮した精密印象からスタートします。「型取り」の段階から、患者さんお一人おひとりの口腔環境に完全フィットする入れ歯を設計するのです。
当院では、以下のような技術を活用しています。
- 機能印象法:動く状態の周囲粘膜に合わせて型取りする技術
- シリコーン印象材の使用:高精度・高弾力性で正確な再現性を実現
- 顔貌・咬合診断:見た目と噛み合わせを同時に最適化
これらの技術を駆使することで、単なる「人工の歯」ではなく、「もう一度自分の歯を取り戻したような感覚」を目指します。動く状態の周囲粘膜に合わせて、噛み合わせまでを考慮して型取りします。
【噛み合わせと顎の動きを考慮した設計】
吸着入れ歯が長持ちするかどうかは、「咬合(噛み合わせ)」の設計にかかっています。咬合がズレていると、特定の部位に負担がかかり、吸着性がすぐに失われてしまうからです。
当院では、咬合調整において以下のようなポイントを重視します。
- 顎関節の動きを再現した咬合器を使用
- 日常動作での噛みグセを考慮
- 顎の動きと筋肉のバランスまでを設計に反映
これらにより、「しっかり噛めて、長く使える」吸着入れ歯を実現。外れにくく、疲れにくい義歯として、多くの患者さんにご満足いただいています。


入れ歯は、ただ「噛めればいい」時代から、「快適に、自然に、美しく」使う時代へと進化しています。その中でも注目されているのが、「柔らかいソフトな総入れ歯」。従来の硬くて痛い入れ歯に悩まされていた方にとって、まさに救世主のような存在です。
ここでは、柔らかいソフトな総入れ歯の特徴や、従来の入れ歯との違い、入れ歯専門医である広瀬通り歯科クリニック院長による精密な治療について詳しく解説します。「入れ歯を作り直したい」・「合わない入れ歯で悩んでいる」、そんな方々にはぜひ読んでほしい内容です。
柔らかい総入れ歯とは?
【その基本構造と素材】
柔らかいソフトな総入れ歯とは、歯ぐきに接する部分が特殊な弾力性素材でできた入れ歯です。この素材はシリコーンや熱可塑性樹脂など、柔らかくて当たりが優しいものを使用しており、長時間つけても痛みが出にくく、違和感も少ないのが特徴です。
いわゆる「シリコーン入れ歯」と呼ばれている入れ歯がこの中に含まれますが,広瀬通り歯科クリニックでは、石川県金沢市の入れ歯専門技工所である「金沢歯科技研」と共同で設計した「EK DentureBase」を使用する入れ歯をご提供します。この「EK DentureBase」は当院だけのオリジナル素材で、粘弾性(やわらかいクッション効果)を持ち、歯ぐきを優しく保護して守るタイプの粘弾性復元樹脂です。
【従来の入れ歯との違いとメリット】
ソフト入れ歯と従来の入れ歯との違いは、快適性と適応力にあります。患者さんの歯ぐきの状態によっては、指で押すだけで痛みが出る方もいらっしゃいます。
ソフトタイプは柔軟に形状変化に対応するため、装着時の圧迫感やズレを最小限に抑えてくれます。
「EK DentureBase」は従来使用されてきた硬いピンク色(歯肉色)の樹脂(レジン)と同じ素材ですので剥がれることはなく、入れ歯と同じ耐久性を持ち、修理や調整にも迅速に対応できます。シリコンが剥がれたり、汚れやすかった「シリコーン入れ歯」にお困りの方には朗報です!
また、このソフト素材は軽量で割れにくいため、取り扱いも簡単。口腔内が乾燥しがちな高齢者や、アレルギー体質の方にも対応して、まさに“ストレスフリーな入れ歯”です。
【なぜ「シリコーン」じゃダメなのか?】
現在、ソフトな素材としては「シリコーン」が多く出回っており、「シリコーン入れ歯」を使用した経験のある方の多くは、装着当初は「柔らかく痛くない」・「噛める!!」と感じたことでしょう。ところが、使用していくうちに「最初は良かったけど、なんか力が入らない」・「うまく噛めない!!」と感じる方が少なくないのでは?
「力が入らない」・「うまく噛めない」理由は、「シリコーン」素材が柔らかすぎることにあります。
入れ歯は、歯ぐきという柔らかい粘膜の上に乗っかっています。「海に浮かんでいる船」を想像して下さい、ゴムボートの船と鉄板の船の上でどちらが踏ん張って立てるでしょうか?ゴムボートのような「柔らかい素材」の船の上では踏ん張りづらいと思います。
入れ歯も同じ理屈で、粘膜の上に乗っている(海に浮かんでいる)入れ歯は、柔らかすぎるシリコーン(ゴムボート)だと力が入らないのです。
またシリコーンは、外界とつながっているお口の中という過酷な環境では耐久性が劣ります。一般に使用される「生体用シリコーン」は、皮膚の下などに埋め込まれることで、外界とはつながらない環境の元で効果と耐久性を発揮しますが、お口の中では耐久性が減弱します。
さらにシリコーンは基本的に水分と馴染まず、水をはじいてしまう性質があります。入れ歯がお口の中でなじむためには、唾液という水分の存在が大切です。唾液が入れ歯となじんで、歯ぐきと入れ歯との接着効果を与えるのです。ところが、水分をはじいてしまうシリコーンは結果的に入れ歯と歯ぐきの接着効果を減弱してしまうので、入れ歯の吸着も悪くしてしまいます。
以上のように、シリコーンは
①柔らかすぎて歯ぐきの上で力が入らない
②生体用と言えども、お口の環境下では耐久性に劣る
③唾液という水分をはじいてしまう
という3つの理由から、入れ歯には不向きな材料です。
ソフトな総入れ歯専門治療で広瀬通り歯科クリニックが選ばれる理由
【貸切り状態のプライベート診療】
性別や年齢を問わず、ご自身のお口の状態を他の方に知られることはつらいものです。そこで当院では、ほぼ貸切り状態のプライベート診療を全ての方に行っており、他の患者さんとお会いすることはほとんどありません。
そこで、当院のソフト入れ歯は若年層にも選ばれています。事故や病気で歯を失った方、アレルギーがある方、歯周病で全顎の治療が必要になった方など、幅広い年代のニーズに応えることができるのが強みです。
金属を使わないので見た目にも自然で、気づかれにくい点も人気の理由の一つ。まるで自分の歯のように使える感覚が、多くの患者さんの心をつかんで離しません。
【専門医によるオーダーメイド設計】
広瀬通り歯科クリニックでは、入れ歯専門医として40年間の経験と実績を有する院長が、患者さんごとに異なるお口の状態や噛み癖を踏まえて、入れ歯の吸着も含めた「完全オーダーメイド」の入れ歯設計を行います。一般の歯科とは異なり、噛み合わせのバランスや顎関節の動きまで考慮した設計が行われます。
保険診療では実現できない、細やかで個別化された入れ歯治療を行います。専門医の目で診断される安心感も大きな魅力です。
【「シリコーン」とは異なる当院だけの材料を導入】
当院では、石川県金沢市の入れ歯専門技工所である「金沢歯科技研」と広瀬通り歯科クリニックが共同で設計した「EK DentureBase」(実用新案、商標登録予定)を使用する入れ歯をご提供します。この「EK DentureBase」は当院だけのオリジナル素材で、穏やかなクッション効果を有し、「痛くなく」噛む力が増えます。
患者さんが使用していた「シリコーン入れ歯」「うまく噛めない」との主訴で来院
新しく当院で製作した「EK DentureBase 入れ歯」「シリコーン入れ歯」と比較して表面性状が良好で、
「吸着」の良い義歯床形態となっている
【精密な型取りとアップデートな技術の導入】
ただ単に柔らかい材料を使用するだけではなく、入れ歯が機能できる高精度な型取りや3Dスキャナー、咬合分析装置などを使い、入れ歯の精度を格段に向上させます。誤差を限りなくゼロに近づけ、違和感のない自然なフィットを目指します。
さらにCAD/CAM技術を応用して、製作工程もスピーディかつ正確。短期間でも高品質な入れ歯が可能になります。
当院で使用している3Dスキャナー(IOS)
義歯プリント機器
【アフターケアとメンテナンス体制】
入れ歯は「作って終わり」ではありません。入れ歯で「よく噛めて笑える」生活を送ることができるように、装着後のメンテナンスや再調整を大事にします。
入れ歯の「洗浄方法」・「洗浄剤の使用法」・「就寝時の取り扱い」など、患者さん自身に行っていただく入れ歯の取り扱いを丁寧にご説明させていただきます。
定期検診やクリーニング、噛み合わせのチェックまで、院長と選任の歯科衛生士でトータルにサポートします。
ソフト総入れ歯に向いている方・向いていない方
【ソフト総入れ歯が向いている方】
以下のような方に、柔らかいソフトな総入れ歯はとくにおすすめです。
- 過去に入れ歯で痛みや口内炎を経験された方
- 歯ぐきが大きくやせていて、歯ぐきを押すだけで痛みを感じる方
- 噛む力が強く、従来の硬い入れ歯で噛むとあちらこちらが痛む方
- 逆に噛む力が弱く、従来の硬い入れ歯に苦痛を感じる方
- 金属アレルギーや従来の樹脂素材(レジン)に過敏な方
- 見た目や会話の自然さを重視する方
- 過去に吸着型入れ歯がはずれやすかった経験のある方
とくに、歯ぐきが敏感な方や、既存の入れ歯で口内炎や出血を繰り返していた方にとっては、柔らかいソフト素材は大きな救いになります。朝から晩まで装着しても違和感が少なく、「人と食事を楽しみたい」・「仕事や外出時も入れ歯を忘れたい」など、日常生活の質を高めたい方にとって大きな味方となります。
当院で製作したソフト総入れ歯の例
【ソフト総入れ歯が向いていない方】
一方で、すべての方に万能というわけではありません。以下のようなケースでは、慎重な判断が必要です。
- 従来の硬い素材でもとくに不自由を感じてないかった方
- 手入れや清掃を面倒に感じる方(ソフト素材はやや手入れが必要)
当院の「EK DentureBase」素材は、「シリコーン入れ歯」とは違い耐久性に優れるものの、色の持続性や素材の表面性状がピンク色の硬いものよりもやや劣ります。そのため、患者さんそれぞれの噛み癖や生活スタイルによっては、従来の硬いタイプの方が向いている場合もあります。
当院で製作した従来素材のBPS入れ歯
広瀬通り歯科クリニックでは、患者さんそれぞれのお口の状態や噛み癖、生活スタイルなどを十分に加味して、適切な素材をご提案させていただいています。
症例:70代女性/入れ歯でうまく噛めない
初診時および下顎旧義歯


下顎新義歯

新義歯装着5年後


| 治療概要 | 上下顎無歯顎に対する全部床義歯を装着した |
|---|---|
| 入れ歯の種類 | 上あごレジン床総入れ歯と下あごEK DentureBase床を用いたやわらかいソフトな総入れ歯 |
| 治療期間 | 3ヶ月 |
| 治療回数 | 5回 |
| リスクと副作用 | 下顎側方偏位(左噛み癖)があることから、上顎左側残存顎堤への負担が大きい。上顎フラビーガムが残存していることから、上顎義歯の安定が困難 |
| 費用 | 上顎レジン床総入れ歯:61万円 下顎EK DentureBase床総入れ歯:71.5万円 |
初診から完成までのステップ
当院の総入れ歯は、「吸着入れ歯」と同じ精密な製作工程を経て完成する特別な入れ歯です。当院では、お一人おひとりに最適な入れ歯を提供するために、段階的かつ丁寧な治療ステップを導入しています。
以下が主な治療の流れです。
1.初診相談
- お悩みやご希望を丁寧にヒアリング
- 今の入れ歯の問題点を把握
- 口腔内の現状確認と診断
2.精密検査・型取り
- 顎の動き、骨の状態、周囲粘膜と舌、噛み合わせの位置関係をチェック
- 高精度な印象材を使って型取り
3.仮合わせ・試適
- 装着感や見た目の調整
- 噛み合わせの位置の調整
4.完成・装着
- 完成した総入れ歯を丁寧に装着
- 装着後の最終調整とアフターケアのご案内
5.メンテナンス・定期検診
- 年に2~3回の検診・調整を推奨
- 今後長く使えるようにメインテナンスとサポート
他の入れ歯と同様にただ作って入れるだけではなく、「長く使い続けられる入れ歯」を目指すのが広瀬通り歯科クリニックの方針です。患者さんの生活に自然に溶け込む入れ歯こそ、真の意味での“快適な入れ歯”だと考えています。
なお、現在の入れ歯の見た目や噛み合わせには問題がなく、新たな入れ歯を作るのではなく、裏打ちのみを当院の柔らかい素材(EK DentureBase)に変えたいというご希望にもお応えしています。
詳しくは、無料相談をご利用ください。
入れ歯製作のポイントに関しては、院長がインタビュー記事で答えておりますので、以下の記事をご参照ください。


製作期間とスケジュール感
装着後の調整とサポート
装着後の微調整やフィット感のチェックを綿密に行い、使用中の不安もすぐに相談できる安心のサポート体制が整っています。
自由診療だからこそ得られる品質
当院の総入れ歯は自由診療となるため、保険診療に比べると費用は高くなりますが、その分、素材の自由度・設計の柔軟性・フィット感などに大きな違いがあります。「高いけれど、その価値がある」——実際に使用された多くの患者様がそう実感されています。
長期的に見たコストパフォーマンス
初期費用は高くても、「ズレない」・「痛くない」・「長持ちする」などのメリットによって、再調整や作り直しの回数が減り、長期的にはコストを抑えることができるケースも少なくありません。
さらに、快適に食事ができることで健康を維持しやすくなり、他の医療費の削減にもつながるといったメリットもあります。
費用についてのご案内
料金プランと分割支払いの対応
広瀬通り歯科クリニックでは患者さんのニーズに合わせた明確で安心な料金プランを複数ご用意しています。初診時にお見積りを提示し、あとから予想外の請求が来ることはありません。
代表的な費用目安は以下の通りです。
| 入れ歯の種類 | 目安費用(税込) |
|---|---|
| 治療用入れ歯(暫間入れ歯) | ¥220,000~¥440,000 |
| 部分入れ歯:レジン床 | ¥270,000~¥660,000 |
| 部分入れ歯:金属床(Co-Cr) | ¥385,000~¥715,000 |
| 総入れ歯:レジン床 | ¥610,000 |
| 総入れ歯:金属床(Co-Cr) | ¥660,000 |
| 総入れ歯:金属床(Ti) | ¥715,000 |
| 総入れ歯:EKBase床 | ¥715,000 |
| 総入れ歯:BPS | ¥770,000 |
※ 入れ歯の初回相談は無料です。
※ 上記は目安となります。症例により変動することをご了承ください。
さらに、当院では月々5,000円~の分割払いにも対応しています。デンタルローンやクレジットカード払いにも対応しており、無理なく理想の入れ歯生活を目指すことが可能です。
医療費控除についてのご案内
入れ歯治療の費用は、医療費控除の対象となります。医療費控除とは、入れ歯治療を含む1年間に支払ったすべての医療費が一定額を超える場合に、所得税の一部が戻ってくる制度です。
当院では、必要な書類(領収書や診断書など)の発行に対応しておりますので、お気軽にご相談ください。豊かな生活を送るための入れ歯治療を、より多くの方に受けていただけるよう、経済的な面でもしっかりとサポートいたします。


