部分入れ歯専門治療
【部分入れ歯専門治療について】
症例解説
60代女性。歯科医院にずっと通っていたが、前歯の隙間が大きくなってグラグラしてきたことを主訴に来院しました。下顎両側大臼歯を16年前に喪失し、その後部分入れ歯を製作したものの使用できず、前歯を中心に食べていたとのこと。長年歯科医院に通院してきたが、前歯の隙間が大きくなりグラグラしてきたことを不安に思い当院を来院されました。1年前からうまく食事できず、「家族と同じものが食べたい」とのご希望がありました。
治療前 下顎両側大臼歯欠損は放置され、上下顎前歯は前方に傾斜・突出した状態であり、上顎の右側中切歯は動揺が著明で、全顎的に歯肉の発赤・腫脹がありました。


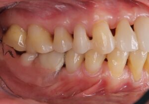
治療後 上下顎両側大臼歯欠損は目立たない部分入れ歯が装着され、上下顎前歯の前方への傾斜・突出と隙間の改善を認めます。、全顎的な歯肉の発赤・腫脹も改善されています。


【治療内容】
1. 初診相談


デンタルレントゲン写真と歯周組織検査の結果から、重度の歯周炎に罹患しており(広汎型 重度慢性歯周炎 ステージⅣグレードC)していました。口腔清掃不良による歯周炎の進行と、下顎両側大臼歯の欠損放置に伴って前歯部に噛み合わせの力が強くかかり(二次性の咬合性外傷)、歯槽骨吸収が進行するとともに上下顎ともに歯の病的な位置異常が生じたと考えます.主訴である上顎右側中切歯は、抜歯が適当と考えました。
治療計画として、1.歯周基本治療(口腔清掃指導,禁煙指導,上顎右側中切歯の抜歯,スケーリング・ルートプレーニング,虫歯処置,全顎的歯科矯正治療)とともに早期に下顎部分入れ歯を装着する、2.歯周組織再評価、3.口腔機能回復治療(歯の修復処置)、4.歯周組織再評価、5.メインテナンス を歯科医師と歯科衛生士で話し合って立案しました。その後、患者さんに提示・相談させていただいて、同意を得ました。
2. 下顎部分入れ歯の装着と歯周基本治療

上顎右側中切歯の抜歯と同日に、抜歯した歯を用いて隣の歯と接着し,見た目の一時的回復を図りました(主訴の改善)。
下顎部分入れ歯は、見た目に影響を与えず、クラスプ(歯の留め金)を使用せずとも入れ歯がはずれてこないように、精密性アタッチメントを使用して、早期に噛み合わせの改善を図りました。以前に製作した入れ歯は合わなかったとのことでしたが、今回装着した部分入れ歯はすぐに慣れて、なんでも食べれるようになったとのことでした。
3. 下顎部分入れ歯を装着しながらの歯列矯正処置

歯周病患者さんであるため、ワイヤーを用いた歯列矯正処置(マウスピース矯正では歯が揺れてしまうため)を9ヶ月行い、歯の病的な位置異常を是正して、見た目とともに機能の改善を図りました。部分入れ歯の設計を考慮して歯列矯正処置を行うとともに、奥歯での噛み合わせを確保しています。
4. メインテナンスへ移行

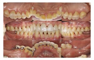
歯列矯正処置の後、最終的な歯の修復処置(ダイレクトボンディング)を行い、メインテナンスへ移行しました.早期に製作した部分入れ歯は今後も使用していきます。初診時と比較して、歯肉の炎症を認めず、出血点はほぼ消失し、歯の周りの歯槽骨梁の改善が認められました。
このように早期に適切な設計の部分入れ歯を装着することで、残っている歯の歯周炎の改善が得られ(残っている歯を守る)、見た目の改善ばかりでなく、食事もしっかり摂ることができます。
そこで、こんな部分入れ歯のお悩みに
① 入れ歯だとバレたくない
② 異物感なくしっかりと食べたい
③ 残っている歯もしっかり守りたい


【治療概要】下顎部分入れ歯の装着と全顎的な歯周基本治療・全顎的歯科矯正処置を行なった
【入れ歯の種類】下顎臼歯部に目立たない部分入れ歯
【メインテナンス開始までの治療期間】1年間
【メインテナンス開始までの治療回数】19回
【リスクと副作用 】ブラッシング不良とバイオフィルム再形成による歯周炎の再発,矯正治療後の後戻り
【費用】下顎目立たない部分入れ歯 : 64万円,歯周炎に対する歯周基本治療:22.5万円,全顎歯科矯正治療 : 55万円


部分入れ歯専門治療を受けることで
入れ歯であることがバレずに、自然な見た目を回復!
異物感なく、しっかりと食事ができる生活に!
目立たない入れ歯のご紹介
ノンクラスプデンチャー(バネなし入れ歯)
金属のバネが見えてしまう従来の部分入れ歯に対し、ノンクラスプデンチャーはバネが一切見えません。樹脂で歯ぐきにしっかりとフィットするこの入れ歯は、装着時の違和感も少なく、笑ったときにも自然な口元を演出できます。
カラーも歯ぐきに近いピンク色で作られるため、他人からはほとんど気づかれません。審美性を重視する方、接客業や人前に出る機会が多い方にも選ばれています。
審美性と機能性を両立したアップデイトな入れ歯
見た目だけでなく、しっかりと噛める機能も大切です。当院では、審美性と機能性の両立を目指し、見た目だけではなく、噛み合わせのバランスや入れ歯の安定性にも徹底的にこだわっています。
美しさだけでなく自然な表情を演出
とくに前歯を失ってしまった方は、入れ歯の形状が顔の筋肉や表情に影響することをご存じでしょうか?当院では、頬の張り、口角の上がり具合など、顔全体のバランスを見ながら入れ歯を設計します。見た目を若々しく保ちたい方には、おすすめのアプローチです。
お顔のバランスを考えて、口元の膨らみに与えます入れ歯を入れていることには、ほとんど気づかれません
アップデイトな精密アタッチメントで入れ歯を支えてもらいます
見えない部分は金属で補強し、しっかりと噛める機能を与えています
素材や設計は、入れ歯専門の歯科技工士と連携しながらカスタムメイドします。軽くて丈夫な入れ歯を提供することで、「しっかりと噛めるのに、付けているのを忘れるほど快適」という感動をお届けしています。
バネなし入れ歯の魅力とは?
金属バネがないメリット
今までの入れ歯の中には、笑った時や話したときに金属バネが見えてしまうという難点がありました。ノンクラスプデンチャーのようなバネなし入れ歯は、その悩みを解消してくれます。
金属バネがないことで、見た目が自然なのはもちろん、残っている歯への負担も少ないとされ、長期的に見ても健康的な口腔環境を維持できます。
軽くてフィットする快適な装着感
バネなし入れ歯は軽量かつ柔軟性の高い素材で作られているため、歯ぐきにぴったりとフィットします。「入れ歯がはずれやすい」、「痛くて長時間使えない」といった悩みを持つ方にも適用されます。
見た目を気にせず使えることから、外出時もストレスなく楽しめるようになります。自然な見た目だけでなく、装着感の良さも患者さんから高く評価されています。


「入れ歯だと固いものが噛めない」・「すぐに外れてしまって食事が楽しめない」――そんな不満を抱える方こそ、当院の“しっかり噛める部分入れ歯”を試してみてください。
噛み合わせの精密な調整
入れ歯治療において、型取りはもちろんのこと、噛み合わせの調整も非常に重要です。噛む力を正しく分散できていないと、入れ歯がズレたり、他の歯や顎に負担をかけてしまう原因になります。
当院では、咬合器(こうごうき)という専門機器を使って、患者さんそれぞれのあごの動きを再現しながら調整を行います。これにより、噛む力が均等に分散され、快適な咀嚼が可能になります。
咬合器上で噛み合わせを調整します
滑舌や飲み込みにも配慮
しっかり噛めるだけでなく、「話す(発音)」・「飲み込む(嚥下)」といった日常動作にも配慮した設計を行います。舌や唇の動きを妨げないように調整し、滑舌や発音もスムーズに。とくに、会話の多いお仕事をされている方や、発音に敏感な方に好評です。
薄くても強度のある金属床部分入れ歯
違和感なく発音と嚥下ができます。
入れ歯と他の補綴装置との基本的な違い
歯を失ってしまった場合の補綴治療には、「入れ歯」・「ブリッジ」・「インプラント」の3つの装置を使用します。
- 入れ歯:歯ぐきに人工歯を乗せて、残りの歯に支えてもらう着脱可能な装置
- ブリッジ:隣接する歯を削って支えにする装置
- インプラント:あごの骨にチタン製の人工歯根を埋め込んだ装置

とくに、入れ歯は「残りの歯をほとんど削らない」・「外科的処置が不要」で、他の歯や骨に負担をかけにくいのが特徴です。体への負担が少なく、コスト面でも現実的な選択肢として、幅広い年代に選ばれています。
ブリッジ・インプラント治療と入れ歯治療との比較
部分入れ歯、インプラント、ブリッジ――どれが自分にとって最適な治療法か悩んでいませんか?それぞれの治療には明確な特徴があります。
ブリッジは、両隣の歯を削って支えにする固定式の補綴装置。自然な見た目と噛み心地が期待できますが、歯を削る(犠牲にする)ことや、削った歯(支台歯)の負担が大きい点がデメリットです。
インプラントは、人工の歯根をあごの骨(顎骨)に埋め込むため、安定感があり「自分の歯のように噛める」のが魅力です。しかし、デメリットとして外科手術が必要で、費用も高額。糖尿病や骨粗鬆症など、全身の健康状態によっては適用できないこともあります。
部分入れ歯は、これらに比べて「低侵襲」で、歯や骨に与えるダメージが少なく、体に優しい選択肢です。着脱式である点は好みが分かれ、その品質によっては自分の歯のように噛めないというデメリットがあるものの、口腔内の状況や全身状態に左右されにくく、幅広い年齢層に適応できます。
身体的・経済的負担の違い
部分入れ歯は、治療期間が短く、手術も不要なため、高齢の方や持病をお持ちの方にも身体的な負担が少ないのが特徴です。費用面でも、他の補綴治療に比べてリーズナブルです。さらに多様な設計方法があるために、見た目や快適性を追求したい方には、それぞれのご希望に見合った設計方法をご提案可能です。
ブリッジは、支えとなる歯が健康な歯の場合でも、この歯を削る必要があります。現在の科学では、いくらお金をかけても削った歯は元通りにならないことが身体的負担となります。
インプラントは1本あたりの治療費が数十万円にのぼるため、全体の治療計画次第では大きな負担になるケースもあり、外科手術が必要という身体的負担が存在します。
これらの点を踏まえて、自分に合った治療法を選ぶためには、専門医による丁寧な説明のもと、患者さんご自身で選択していただくことになります。
広瀬通り歯科クリニックの部分入れ歯専門治療の特徴
補綴歯科専門医と歯周病認定衛生士による専門性の高いチーム医療
当院の最大の強みは、「補綴(ほてつ)歯科専門医」と「日本歯周病学会/日本臨床歯周病学会認定の歯科衛生士」がタッグを組んで、患者さんお一人おひとりの治療にあたる“チーム医療”を行なっていることです。
補綴歯科専門医は、歯を失った箇所に対する補綴処置(入れ歯、ブリッジ、インプラントなど)のスペシャリスト。残された歯をこれ以上失わない、そして美しく、しっかり噛めて、長持ちする入れ歯を設計・製作します。
一方、歯周病認定衛生士は、歯ぐきや周囲の歯の健康を守るプロフェッショナル。入れ歯を長く使っていただくためには、残された歯と歯ぐきの健康が非常に重要です。
この2人が連携し、患者さんのお口の状態を的確に診断・管理することで、長期的な快適さと健康を実現しています。
患者さんお一人おひとりの口腔状態に合わせたオーダーメイド治療
部分入れ歯と一口に言っても、失ってしまった歯の数やその位置により、その設計や材質、機能性はそれぞれ異なります。「一部の歯だけを失った方」・「複数本を失った方」・「ブリッジやインプラントが難しい方」など、患者さんそれぞれのお口の状態やご希望に応じ、完全オーダーメイドでご提案しています。
型取りから仮合わせ、本装着まで、何度も確認と調整を重ねながら進めていくため、フィット感は抜群。もちろん、見た目や使用感などご要望にも丁寧に対応いたします。


部分入れ歯治療の流れ
① カウンセリング(初診)
まずはしっかりとお話をお伺いすることからスタート。どこが気になるのか? どんな見た目や噛み心地を求めているのか?どのようなご希望があるのか?ご予算は?など、ご自身の生活習慣を含めてじっくりとお聞きします。この段階で、治療の選択肢や大まかな費用についてもご案内いたします。
② 精密検査
口腔内写真・レントゲン・歯周病の状態・噛み合わせ・あごの動きなど、部分入れ歯を装着していく上で必要な情報を集めます。ここでは補綴歯科専門医と歯周病認定衛生士が連携し、総合的な診断を行います。
③ 治療計画と部分入れ歯の設計のご提案と決定
検査結果をもとに、入れ歯を製作する前の虫歯治療や歯周病治療などの歯科的前処置の要否と、どのような入れ歯が最適であるかを設計。金属を使うか、目立たないタイプにするか、噛むことの強化を重視するかなどを、患者さんとご一緒に決めていきます。
④ 歯科的前処置
治療計画と部分入れ歯の設計に合わせて、必要な前処置を確実に行なっていきます。
⑤ 型取りと仮合わせ(試適)
補綴歯科専門医ならではの精密な型取り、噛み合わせの記録を行い、仮の入れ歯を製作。噛み合わせを確認した上で、前歯の入れ歯であれば人工歯の色調と形態、歯並びや口唇周囲の厚みなどの見た目を確認していただきます。改善点があれば、ご納得いただけるまで、その場で丁寧に修正していきます。
⑥ 装着と調整、メインテナンスの開始
完成した入れ歯を装着。違和感やズレがないかを再度確認し、調整します。また入れ歯の着脱方法やお手入れ方法のご説明を行います。その後に1~2回来院していただき、入れ歯の着脱具合や噛み具合、お痛みがないかどうかなどの調整を行います。そして定期メンテナンスにご来院いただき、長く快適にお使いいただけるようサポートしていきます。
費用についてのご案内
料金プランと分割支払いの対応
広瀬通り歯科クリニックでは患者さんのニーズに合わせた明確で安心な料金プランを複数ご用意しています。初診時にお見積りを提示し、あとから予想外の請求が来ることはありません。
代表的な費用目安は以下の通りです。
| 入れ歯の種類 | 目安費用(税込) |
|---|---|
| 治療用入れ歯(暫間入れ歯) | ¥220,000~¥440,000 |
| 部分入れ歯:レジン床 | ¥270,000~¥660,000 |
| 部分入れ歯:金属床(Co-Cr) | ¥385,000~¥715,000 |
| 総入れ歯:レジン床 | ¥610,000 |
| 総入れ歯:金属床(Co-Cr) | ¥660,000 |
| 総入れ歯:金属床(Ti) | ¥715,000 |
| 総入れ歯:EKBase床 | ¥715,000 |
| 総入れ歯:BPS | ¥770,000 |
※ 入れ歯の初回相談は無料です。
※ 上記は目安となります。症例により変動することをご了承ください。
さらに、当院では月々5,000円~の分割払いにも対応しています。デンタルローンやクレジットカード払いにも対応しており、無理なく理想の入れ歯生活を目指すことが可能です。
医療費控除についてのご案内
入れ歯治療の費用は、医療費控除の対象となります。医療費控除とは、入れ歯治療を含む1年間に支払ったすべての医療費が一定額を超える場合に、所得税の一部が戻ってくる制度です。
当院では、必要な書類(領収書や診断書など)の発行に対応しておりますので、お気軽にご相談ください。豊かな生活を送るための入れ歯治療を、より多くの方に受けていただけるよう、経済的な面でもしっかりとサポートいたします。

